Histology-World!


Histology Photo Album



Ovary  - histology slide
This is a histology slide of the ovary. At high power, 2 primordial follicles, each containing an oocyte can be seen in the highly cellular stroma. 

Histology image descriptions and photography by Frank N. Miller, M.D.; histology image courtesy of Uniformed Services University of the Health Sciences.

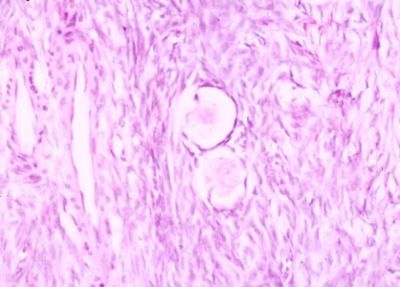
Ovary - histology slide

This is a histology slide of the ovary. At high power, 2 primordial follicles, each containing an oocyte can be seen in the highly cellular stroma.

Histology image descriptions and photography by Frank N. Miller, M.D.; histology image courtesy of Uniformed Services University of the Health Sciences.

Copyright Histology-World and its licensors. All rights reserved .