Histology-World!
Histology Photo Album
Home
Login
Histology Photo Album Home
Album list
Last uploads
Last comments
Most viewed
Top rated
My Favorites
Search
FILE 41/64
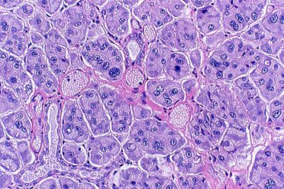
Salivary gland - histology slide
This is a histology gland of salivary gland. H&E; 20X magnification.
Histology slide courtesy of Anatech Ltd.
File information
Filename:
salivarygland1.jpg
Album name:
sarah
/
Salivary Gland Histology
Filesize:
451 KiB
Date added:
Apr 16, 2008
Dimensions:
712 x 477 pixels
Displayed:
2628 times
URL:
http://histology-world.com/photoalbum/displayimage.php?pid=2834
Favorites:
Add to Favorites
Copyright Histology-World and its licensors. All rights reserved
.