Histology-World!
Histology Photo Album
Home
Login
Histology Photo Album Home
Album list
Last uploads
Last comments
Most viewed
Top rated
My Favorites
Search
FILE 62/156
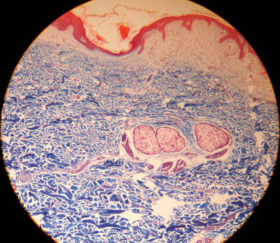
Skin - histology slide
This is a histology slide of skin stained with Mallory's stain.
Histology slide courtesy of Florida State University.
File information
Filename:
DSCN3661.jpg
Album name:
sarah
/
Integumentary System Histology
Filesize:
194 KiB
Date added:
Mar 04, 2008
Dimensions:
882 x 768 pixels
Displayed:
1935 times
URL:
http://histology-world.com/photoalbum/displayimage.php?pid=2589
Favorites:
Add to Favorites
Copyright Histology-World and its licensors. All rights reserved
.