Histology-World!


Histology Photo Album



Pyloric region of stomach - histology slide
This is a histology slide from the pyloric region of the stomach. This differs from the fundic portion in that the gastric pits are deeper and there are pyloric glands in the lamina propria.

Histology image descriptions and photography by Frank N. Miller, M.D.; histology image courtesy of Uniformed Services University of the Health Sciences.

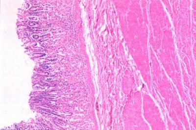
Pyloric region of stomach - histology slide

This is a histology slide from the pyloric region of the stomach. This differs from the fundic portion in that the gastric pits are deeper and there are pyloric glands in the lamina propria.

Histology image descriptions and photography by Frank N. Miller, M.D.; histology image courtesy of Uniformed Services University of the Health Sciences.

Copyright Histology-World and its licensors. All rights reserved .