Histology-World!
Histology Photo Album
Home
Login
Histology Photo Album Home
Album list
Last uploads
Last comments
Most viewed
Top rated
My Favorites
Search
FILE 19/26
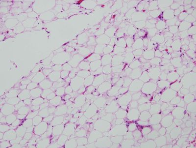
Adipose tissue - histology slide
Histology slide of adipose cells in the tissue surrounding an artery. 200X magnification.
Histology slide courtesy of Histology-World!
File information
Filename:
adipose3.jpg
Album name:
sarah
/
Adipose Tissue Histology
Filesize:
137 KiB
Date added:
Apr 30, 2007
Dimensions:
1360 x 1024 pixels
Displayed:
4770 times
URL:
http://histology-world.com/photoalbum/displayimage.php?pid=582
Favorites:
Add to Favorites
Copyright Histology-World and its licensors. All rights reserved
.