Histology-World!
Histology Photo Album
Home
Login
Histology Photo Album Home
Album list
Last uploads
Last comments
Most viewed
Top rated
My Favorites
Search
FILE 68/132
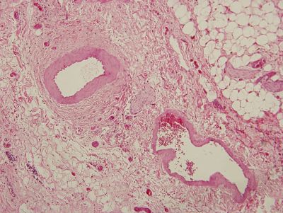
Blood vessels - histology slide
This histology slide is from the tissue surrounding the gallbladder. Blood vessels are visible. 100X; H&E stain.
Histology image courtesy of Histology-World!
File information
Filename:
vessels5.jpg
Album name:
sarah
/
Vessels Histology
Filesize:
319 KiB
Date added:
Jul 11, 2007
Dimensions:
1360 x 1024 pixels
Displayed:
2349 times
URL:
http://histology-world.com/photoalbum/displayimage.php?pid=837
Favorites:
Add to Favorites
Copyright Histology-World and its licensors. All rights reserved
.