Histology-World!


Histology Photo Album



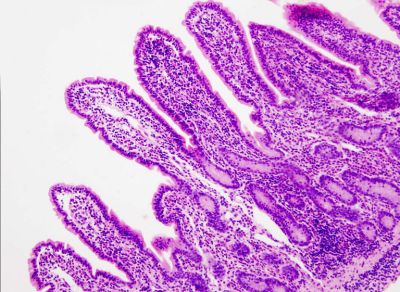
Ileum, sheep - histology slide
This is a histology slide of the terminal ileum from a sheep.  H&E; 250X.

Histology slide courtesy of Smeed et al. BMC Veterinary Research 2007 3:18 doi:10.1186/1746-6148-3-18.

Creative Commons Attribution 2.0 Generic
You are free:
·to Share - to copy, distribute and transmit the work 
·to Remix - to adapt the work 
Under the following conditions:
·Attribution. You must attribute the work in the manner specified by the author or licensor (but not in any way that suggests that they endorse you or your use of the work). 
·For any reuse or distribution, you must make clear to others the license terms of this work. The best way to do this is with a link to this web page: http://creativecommons.org/licenses/by/2.0/ 
·Any of the above conditions can be waived if you get permission from the copyright holder. 
·Nothing in this license impairs or restricts the author's moral rights. 

A link to the license is available at [url=https://www.histology-world.com/credits/credits.htm]Licenses and Credits[/url].
Keywords: smallintestine

Ileum, sheep - histology slide

This is a histology slide of the terminal ileum from a sheep. H&E; 250X.

Histology slide courtesy of Smeed et al. BMC Veterinary Research 2007 3:18 doi:10.1186/1746-6148-3-18.

Creative Commons Attribution 2.0 Generic
You are free:
·to Share - to copy, distribute and transmit the work
·to Remix - to adapt the work
Under the following conditions:
·Attribution. You must attribute the work in the manner specified by the author or licensor (but not in any way that suggests that they endorse you or your use of the work).
·For any reuse or distribution, you must make clear to others the license terms of this work. The best way to do this is with a link to this web page: http://creativecommons.org/licenses/by/2.0/
·Any of the above conditions can be waived if you get permission from the copyright holder.
·Nothing in this license impairs or restricts the author's moral rights.

A link to the license is available at Licenses and Credits.

Copyright Histology-World and its licensors. All rights reserved .