Histology-World!
Histology Photo Album
Home
Login
Histology Photo Album Home
Album list
Last uploads
Last comments
Most viewed
Top rated
My Favorites
Search
FILE 6/150
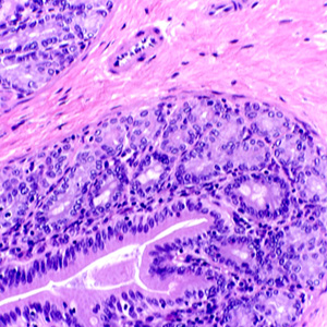
Small intestine, rat - histology slide
This is a histology slide of the small intestine of a rat. 20X magnification.
Histology slide courtesy of Anatech Ltd.
File information
Filename:
SmintestineHE20x.jpg
Album name:
sarah
/
Small Intestine Histology
Keywords:
smallintestine
Filesize:
86 KiB
Date added:
Apr 16, 2008
Dimensions:
300 x 300 pixels
Displayed:
8478 times
URL:
http://histology-world.com/photoalbum/displayimage.php?pid=2844
Favorites:
Add to Favorites
Copyright Histology-World and its licensors. All rights reserved
.