Histology-World!
Histology Photo Album
Home
Login
Histology Photo Album Home
Album list
Last uploads
Last comments
Most viewed
Top rated
My Favorites
Search
FILE 20/34
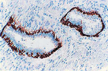
Prostate - histology slide
Histology slide of prostate. Myoepithelial cells are vividly demonstrated with CK5 antibodies, without the use of antigen retrieval. 20X magnification.
Histology slide courtesy of Anatech Ltd.
File information
Filename:
prostate1.jpg
Album name:
sarah
/
Prostate Histology
Filesize:
51 KiB
Date added:
Apr 16, 2008
Dimensions:
220 x 144 pixels
Displayed:
3896 times
URL:
http://histology-world.com/photoalbum/displayimage.php?pid=2835
Favorites:
Add to Favorites
Copyright Histology-World and its licensors. All rights reserved
.