Histology-World!
Histology Photo Album
Home
Login
Histology Photo Album Home
Album list
Last uploads
Last comments
Most viewed
Top rated
My Favorites
Search
FILE 1/34
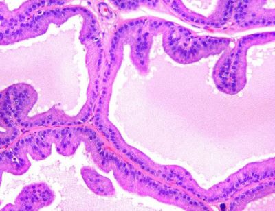
Prostate, rodent - histology slide
Histology image of rodent prostate.
Image courtesy of National Toxicology Program; US Department of Health and Human Services.
File information
Filename:
prostate5.JPG
Album name:
sarah
/
Prostate Histology
Keywords:
prostate
Filesize:
261 KiB
Date added:
Sep 28, 2025
Dimensions:
516 x 398 pixels
Displayed:
415 times
URL:
http://histology-world.com/photoalbum/displayimage.php?pid=4926
Favorites:
Add to Favorites
Copyright Histology-World and its licensors. All rights reserved
.