Histology-World!
Histology Photo Album
Home
Login
Histology Photo Album Home
Album list
Last uploads
Last comments
Most viewed
Top rated
My Favorites
Search
FILE 28/34
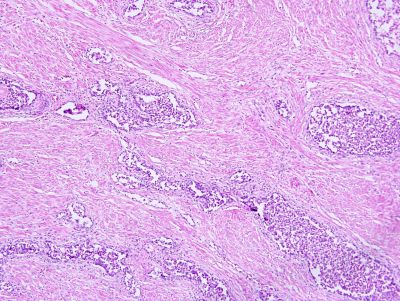
Prostate - histology slide
This histology slide is from the prostate. H&E stain; 100X total magnification.
Histology slide courtesy of Histology-World!
File information
Filename:
prostate6.jpg
Album name:
sarah
/
Prostate Histology
Filesize:
486 KiB
Date added:
Jun 13, 2007
Dimensions:
1360 x 1024 pixels
Displayed:
4227 times
URL:
http://histology-world.com/photoalbum/displayimage.php?pid=750
Favorites:
Add to Favorites
Copyright Histology-World and its licensors. All rights reserved
.