Histology-World!
Histology Photo Album
Home
Login
Histology Photo Album Home
Album list
Last uploads
Last comments
Most viewed
Top rated
My Favorites
Search
FILE 16/96
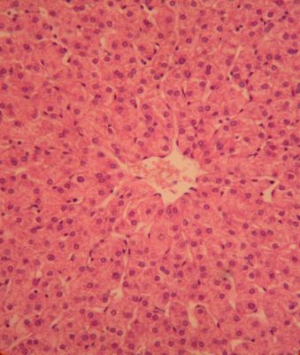
Liver, pig - histology slide
This is a histology slide of pig liver.
Histology slide courtesy of Florida State University.
File information
Filename:
DSCN3881.jpg
Album name:
sarah
/
Liver Histology
Keywords:
liver
Filesize:
97 KiB
Date added:
Sep 08, 2008
Dimensions:
645 x 761 pixels
Displayed:
3639 times
URL:
http://histology-world.com/photoalbum/displayimage.php?pid=3654
Favorites:
Add to Favorites
Copyright Histology-World and its licensors. All rights reserved
.