Histology-World!
Histology Photo Album
Home
Login
Histology Photo Album Home
Album list
Last uploads
Last comments
Most viewed
Top rated
My Favorites
Search
FILE 16/23
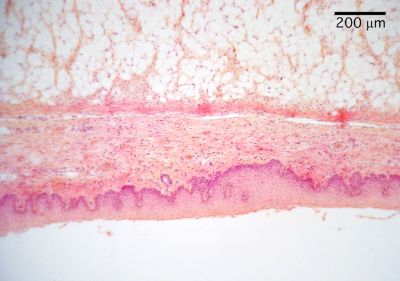
Epiglottis - histology slide
This is a histology slide of the bottom surface of the epiglottis. 100X magnification.
Histology slide courtesy of William L. Todt, Ph.D. at Concordia College, Moorhead, Minnesota.
File information
Filename:
bottomsurface10X.jpg
Album name:
sarah
/
Larynx Histology
Filesize:
307 KiB
Date added:
Jul 30, 2009
Dimensions:
1024 x 720 pixels
Displayed:
4302 times
URL:
http://histology-world.com/photoalbum/displayimage.php?pid=4692
Favorites:
Add to Favorites
Copyright Histology-World and its licensors. All rights reserved
.