Histology-World!
Histology Photo Album
Home
Login
Histology Photo Album Home
Album list
Last uploads
Last comments
Most viewed
Top rated
My Favorites
Search
FILE 13/23
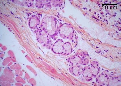
Epiglottis - histology slide
This is a histology slide of the epiglottis showing glands. 400X magnification.
Histology slide courtesy of William L. Todt, Ph.D. at Concordia College, Moorhead, Minnesota.
File information
Filename:
glands40X~0.jpg
Album name:
sarah
/
Larynx Histology
Filesize:
344 KiB
Date added:
Jul 30, 2009
Dimensions:
1024 x 728 pixels
Displayed:
5158 times
URL:
http://histology-world.com/photoalbum/displayimage.php?pid=4712
Favorites:
Add to Favorites
Copyright Histology-World and its licensors. All rights reserved
.