Histology-World!
Histology Photo Album
Home
Login
Histology Photo Album Home
Album list
Last uploads
Last comments
Most viewed
Top rated
My Favorites
Search
FILE 5/81
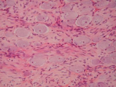
Sympathetic ganglion - histology slide
This is a histology slide of a sympathetic ganglion.
Histology slide courtesy of Florida State University.
File information
Filename:
DSCN3084.jpg
Album name:
sarah
/
Peripheral Nervous System Histology
Filesize:
348 KiB
Date added:
Jan 04, 2008
Dimensions:
768 x 576 pixels
Displayed:
4875 times
URL:
http://histology-world.com/photoalbum/displayimage.php?pid=2236
Favorites:
Add to Favorites
Copyright Histology-World and its licensors. All rights reserved
.