Histology-World!
Histology Photo Album
Home
Login
Histology Photo Album Home
Album list
Last uploads
Last comments
Most viewed
Top rated
My Favorites
Search
FILE 56/62
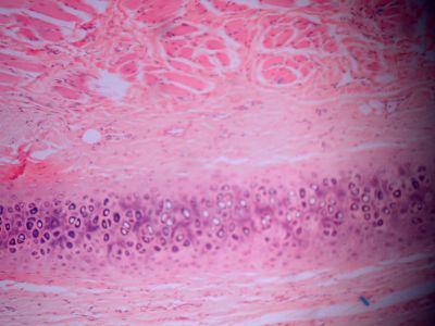
Elastic cartilage - histology slide
This is a histology slide of the epiglottis demonstrating elastic cartilage.
Histology slide courtesy of Florida State University.
File information
Filename:
DSCN2797.jpg
Album name:
sarah
/
Cartilage Histology
Filesize:
401 KiB
Date added:
Dec 06, 2007
Dimensions:
768 x 576 pixels
Displayed:
5897 times
URL:
http://histology-world.com/photoalbum/displayimage.php?pid=2061
Favorites:
Add to Favorites
Copyright Histology-World and its licensors. All rights reserved
.