Histology-World!
Histology Photo Album
Home
Login
Histology Photo Album Home
Album list
Last uploads
Last comments
Most viewed
Top rated
My Favorites
Search
FILE 30/82
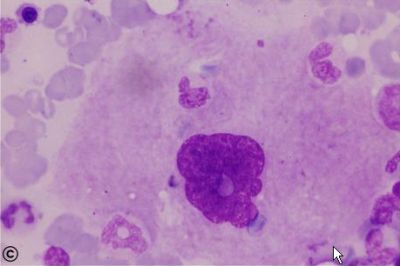
Megakaryocyte - histology slide
This histology slide shows a megarkyocyte.
Image source:
http://www.hematologyatlas.com/
Copyright © Nivaldo Medeiros, M.D. Reprinted with permission.
File information
Filename:
seq31.jpg
Album name:
sarah
/
Hematopoiesis and Bone Marrow Histology
Filesize:
102 KiB
Date added:
Sep 26, 2008
Dimensions:
459 x 306 pixels
Displayed:
3258 times
URL:
http://histology-world.com/photoalbum/displayimage.php?pid=3768
Favorites:
Add to Favorites
Copyright Histology-World and its licensors. All rights reserved
.