Histology-World!
Histology Photo Album
Home
Login
Histology Photo Album Home
Album list
Last uploads
Last comments
Most viewed
Top rated
My Favorites
Search
FILE 4/82
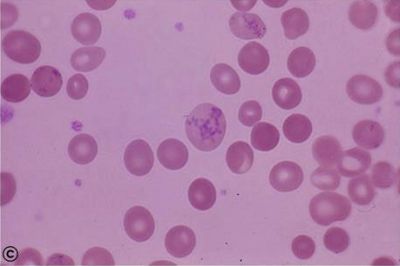
Reticulocytes - histology slide
This histology slide shows reticulocytes.
Image source:
http://www.hematologyatlas.com/
Copyright © Nivaldo Medeiros, M.D. Reprinted with permission.
File information
Filename:
seq47.jpg
Album name:
sarah
/
Hematopoiesis and Bone Marrow Histology
Filesize:
79 KiB
Date added:
Oct 04, 2008
Dimensions:
459 x 306 pixels
Displayed:
5617 times
URL:
http://histology-world.com/photoalbum/displayimage.php?pid=3785
Favorites:
Add to Favorites
Copyright Histology-World and its licensors. All rights reserved
.