Histology-World!


Histology Photo Album



Eosinophil and neutrophil - histology slide
This is a histology slide of a peripheral smear of blood.  There is a neutrophil (left) and eosinophil (right) in this slide.

Histology slide courtesy of William L. Todt, Ph.D. at Concordia College, Moorhead, Minnesota.

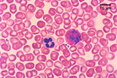
Eosinophil and neutrophil - histology slide

This is a histology slide of a peripheral smear of blood. There is a neutrophil (left) and eosinophil (right) in this slide.

Histology slide courtesy of William L. Todt, Ph.D. at Concordia College, Moorhead, Minnesota.

Copyright Histology-World and its licensors. All rights reserved .