Histology-World!
Histology Photo Album
Home
Login
Histology Photo Album Home
Album list
Last uploads
Last comments
Most viewed
Top rated
My Favorites
Search
FILE 43/45
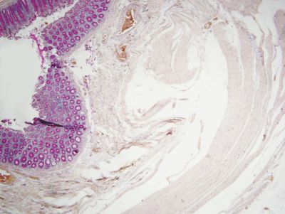
Large intestine - histology slide
This histology slide is from the large intestine. A stain for mucous was used on this histology slide. 40X magnification.
Histology image courtesy of Histology-World!
File information
Filename:
largeintestine5.jpg
Album name:
sarah
/
Large Intestine Histology
Filesize:
185 KiB
Date added:
May 22, 2007
Dimensions:
1360 x 1024 pixels
Displayed:
2805 times
URL:
http://histology-world.com/photoalbum/displayimage.php?pid=688
Favorites:
Add to Favorites
Copyright Histology-World and its licensors. All rights reserved
.