Histology-World!
Histology Photo Album
Home
Login
Histology Photo Album Home
Album list
Last uploads
Last comments
Most viewed
Top rated
My Favorites
Search
FILE 12/19
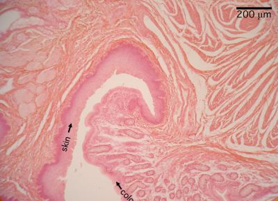
Recto-anal junction (labels) - histology slide
Histology slide courtesy of William L. Todt, Ph.D. at Concordia College, Moorhead, Minnesota.
File information
Filename:
junction10X_lbl.jpg
Album name:
sarah
/
Rectum and Anus Histology
Filesize:
348 KiB
Date added:
Feb 17, 2009
Dimensions:
1024 x 743 pixels
Displayed:
2608 times
URL:
http://histology-world.com/photoalbum/displayimage.php?pid=4264
Favorites:
Add to Favorites
Copyright Histology-World and its licensors. All rights reserved
.