| 
                        
                 | 
            
            
                
                        
                        
                                
                                        
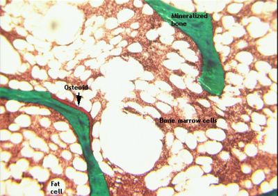
                                                Bone (labels) - histology slide
                                         | 
                                 
                                
                                        
                                                A photomicrograph of a biopsy from a normal postmenopausal woman showing an osteoid seam of normal width. Mineralized bone is green and osteoid is orange.  
 
Histology slide courtesy of Osteoporosis and Bone Physiology. 
http://courses.washington.edu/bonephys/ophome.html/
                                         | 
                                 
                         
                 |