Histology-World!


Histology Photo Album



Pineal gland, chicken – histology slide
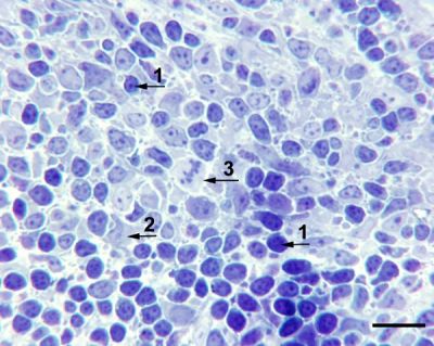
High magnification of PALT. Toluidine-blue stained 1 μm epoxy section of PALT at higher magnification showing numerous small lymphocytes (1), and larger pleomorphic cells (2). Mitotic figures were common (3). Bar indicates 10 μm.

Citation: Mosenson, J.A., McNulty, J.A. Characterization of lymphocyte subsets over a 24-hour period in Pineal-Associated Lymphoid Tissue (PALT) in the chicken. BMC Immunol 7, 1 (2006). https://doi.org/10.1186/1471-2172-7-1

Source: [url=https://bmcimmunol.biomedcentral.com/articles/10.1186/1471-2172-7-1]BMC Immunology article[/url]

Image title: "Figure 2"

No changes were made to the original image downloaded.  

This image and descriptive text are from an article published by [i]BioMed Central Ltd[/i]. It is an Open Access article distributed under the terms of the [url=https://creativecommons.org/licenses/by/2.0]Creative Commons Attribution License (CC BY 2.0)[/url], which permits unrestricted use, distribution, and reproduction in any medium, provided the original work is properly cited.  

Keywords: pineal

Pineal gland, chicken – histology slide

High magnification of PALT. Toluidine-blue stained 1 μm epoxy section of PALT at higher magnification showing numerous small lymphocytes (1), and larger pleomorphic cells (2). Mitotic figures were common (3). Bar indicates 10 μm.

Citation: Mosenson, J.A., McNulty, J.A. Characterization of lymphocyte subsets over a 24-hour period in Pineal-Associated Lymphoid Tissue (PALT) in the chicken. BMC Immunol 7, 1 (2006). https://doi.org/10.1186/1471-2172-7-1

Source: BMC Immunology article

Image title: "Figure 2"

No changes were made to the original image downloaded.

This image and descriptive text are from an article published by BioMed Central Ltd. It is an Open Access article distributed under the terms of the Creative Commons Attribution License (CC BY 2.0), which permits unrestricted use, distribution, and reproduction in any medium, provided the original work is properly cited.

Copyright Histology-World and its licensors. All rights reserved .