Histology-World!
Histology Photo Album
Home
Login
Histology Photo Album Home
Album list
Last uploads
Last comments
Most viewed
Top rated
My Favorites
Search
FILE 13/3760
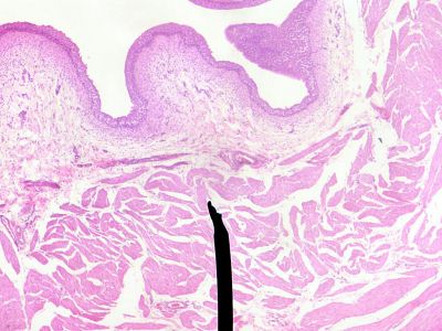
Bladder - histology slide
This is a histology slide of the bladder.
Image by Jpogi via Wikipedia. Public domain.
No changes were made to the original image downloaded (note: this version was downloaded at reduced resolution from Wikipedia).
File information
Filename:
Urinary_bladder.JPG
Album name:
sarah
/
Bladder Histology
Filesize:
242 KiB
Date added:
Nov 23, 2025
Dimensions:
1024 x 768 pixels
Displayed:
118 times
URL:
http://histology-world.com/photoalbum/displayimage.php?pid=5129
Favorites:
Add to Favorites
Copyright Histology-World and its licensors. All rights reserved
.