Histology-World!


Histology Photo Album



Vaginal tissue - histology slide
This is a histology slide of vaginal tissue.

Image by Jpogi at English Wikipedia, via Wikimedia Commons. Public domain.

No changes were made to the original image downloaded (note: this version was downloaded at reduced resolution from Wikimedia Commons).

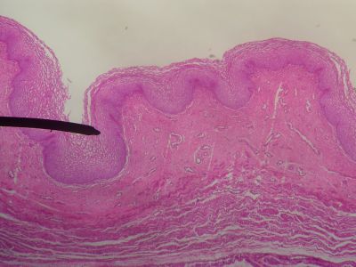
Vaginal tissue - histology slide

This is a histology slide of vaginal tissue.

Image by Jpogi at English Wikipedia, via Wikimedia Commons. Public domain.

No changes were made to the original image downloaded (note: this version was downloaded at reduced resolution from Wikimedia Commons).

Copyright Histology-World and its licensors. All rights reserved .