Histology-World!
Histology Photo Album
Home
Login
Histology Photo Album Home
Album list
Last uploads
Last comments
Most viewed
Top rated
My Favorites
Search
FILE 47/538
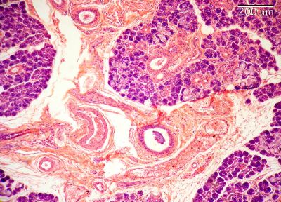
Submandibular gland - histology slide
This is a histology slide of the submandibular gland.
Histology slide courtesy of William L. Todt, Ph.D. at Concordia College, Moorhead, Minnesota.
File information
Filename:
submanidbular10X.jpg
Album name:
sarah
/
Salivary Gland Histology
Filesize:
423 KiB
Date added:
Apr 27, 2009
Dimensions:
800 x 577 pixels
Displayed:
3902 times
URL:
http://histology-world.com/photoalbum/displayimage.php?pid=4478
Favorites:
Add to Favorites
Copyright Histology-World and its licensors. All rights reserved
.