Histology-World!


Histology Photo Album



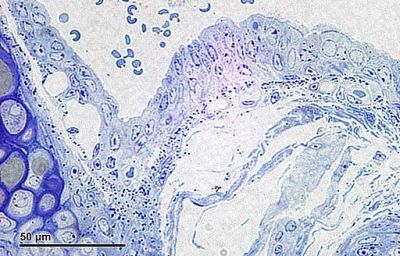
Toluidine blue - histology slide
Trachea: Mouse trachea cross-section, embedded in Epon. Stain: Toluidine blue. Optical microscopy technique: Bright field. Magnification: 1360x (for picture width 26 cm ~ A4 format).

Image by [url=https://cs.wikipedia.org/wiki/Josef_Reischig]Josef Reischig[/url], via Wikimedia Commons. 

Source: Author's archive

Original file source: [url=https://commons.wikimedia.org/wiki/File:Trachea_%2826_2_06%29_Mouse_trachea_cross-section,_embedded_in_Epon.jpg]https://commons.wikimedia.org/wiki/File:Trachea_%2826_2_06%29_Mouse_trachea_cross-section,_embedded_in_Epon.jpg [/url]

Title: "Trachea_(26_2_06) _Mouse_trachea_cross-section, _embedded_in_Epon.jpg"

No changes were made to the original image downloaded (note: this version was downloaded at reduced resolution from Wikimedia Commons).

The heirs of the creator of this work hereby publish it under the following license:
This file is licensed under the Creative Commons Attribution-Share Alike 3.0 Unported license [url=https://creativecommons.org/licenses/by-sa/3.0/deed.en/]https://creativecommons.org/licenses/by-sa/3.0/deed.en/[/url]

Toluidine blue - histology slide

Trachea: Mouse trachea cross-section, embedded in Epon. Stain: Toluidine blue. Optical microscopy technique: Bright field. Magnification: 1360x (for picture width 26 cm ~ A4 format).

Image by Josef Reischig, via Wikimedia Commons.

Source: Author's archive

Original file source: https://commons.wikimedia.org/wiki/File:Trachea_%2826_2_06%29_Mouse_trachea_cross-section,_embedded_in_Epon.jpg

Title: "Trachea_(26_2_06) _Mouse_trachea_cross-section, _embedded_in_Epon.jpg"

No changes were made to the original image downloaded (note: this version was downloaded at reduced resolution from Wikimedia Commons).

The heirs of the creator of this work hereby publish it under the following license:
This file is licensed under the Creative Commons Attribution-Share Alike 3.0 Unported license https://creativecommons.org/licenses/by-sa/3.0/deed.en/

Copyright Histology-World and its licensors. All rights reserved .