Histology-World!
Histology Photo Album
Home
Login
Histology Photo Album Home
Album list
Last uploads
Last comments
Most viewed
Top rated
My Favorites
Search
FILE 28/107
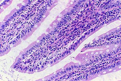
Small intestine - histology slide
This is a histology slide of the small intestine. Notice the striated border of the columnar epithelium of the intestine. H&E; 20X magnification.
Histology slide courtesy of Anatech Ltd.
File information
Filename:
smallintestine5~0.jpg
Album name:
sarah
/
Small Intestine Histology
Filesize:
448 KiB
Date added:
Apr 16, 2008
Dimensions:
715 x 481 pixels
Displayed:
2868 times
URL:
http://histology-world.com/photoalbum/displayimage.php?pid=2837
Favorites:
Add to Favorites
Copyright Histology-World and its licensors. All rights reserved
.