Histology-World!


Histology Photo Album



Embryonic brain 80448
Transmission electron microscope image of a thin section cut through the developing brain tissue (telencephalic hemisphere) of an 11.5 day mouse embryo. This image shows the telencephalon surface just before perforation by a capillary. Before perforation occurs, the vascular and cerebral basal laminae are in contact and will become fused at the point of perforation by the the capillary filopodia.  JEOL 100CX TEM

Image courtesy of Louisa Howard, Miguel Marin-Padilla.

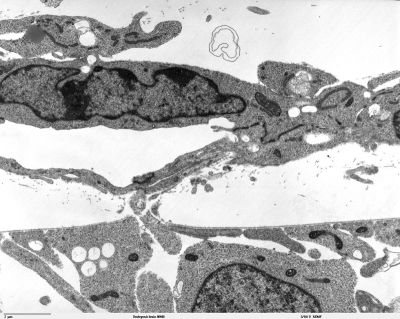
Embryonic brain 80448

Transmission electron microscope image of a thin section cut through the developing brain tissue (telencephalic hemisphere) of an 11.5 day mouse embryo. This image shows the telencephalon surface just before perforation by a capillary. Before perforation occurs, the vascular and cerebral basal laminae are in contact and will become fused at the point of perforation by the the capillary filopodia. JEOL 100CX TEM

Image courtesy of Louisa Howard, Miguel Marin-Padilla.

Copyright Histology-World and its licensors. All rights reserved .