Histology-World!


Histology Photo Album



Adrenal gland - histology slide
This is a histology slide of the adrenal gland. The pointer is on the zona reticularis of the adrenal cortex.

Image by Jpogi, via Wikimedia Commons. Public domain.

No changes were made to the original image downloaded (note: this version was downloaded at reduced resolution from Wikimedia Commons).

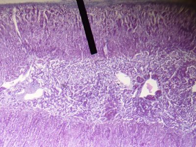
Adrenal gland - histology slide

This is a histology slide of the adrenal gland. The pointer is on the zona reticularis of the adrenal cortex.

Image by Jpogi, via Wikimedia Commons. Public domain.

No changes were made to the original image downloaded (note: this version was downloaded at reduced resolution from Wikimedia Commons).

Copyright Histology-World and its licensors. All rights reserved .