|
|
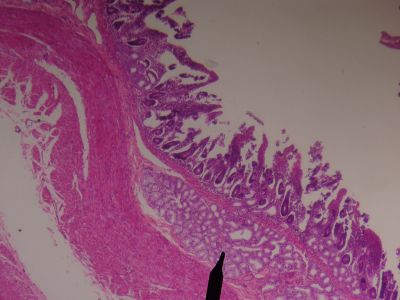
Small intestine - histology slide
|
This is a histology slide of the small intestine. Note the Brunner's glands.
Image by Jpogi at English Wikipedia, via Wikimedia Commons. Public domain.
No changes were made to the original image downloaded (note: this version was downloaded at reduced resolution from Wikimedia Commons).
|
|